Ad Code

Sarcomatoid Mesothelioma Pathology Outlines / Pathology Outlines Mesothelioma Peritoneum Epithelioid : Between 7% and 20% of cases have these cells.

Sarcomatoid Mesothelioma Pathology Outlines / Pathology Outlines Mesothelioma Peritoneum Epithelioid : Between 7% and 20% of cases have these cells.. Mangano, w.e., cagle, p.t., chung, a. Between 7% and 20% of cases have these cells. mesothelioma treatment, diagnosis and related information for patients and families. There was a pleural predominance with 78% pleural mm and 22% peritoneal mm. Carcinoma component typically psa+ or psap+.

In the past, spammers have succeeded in making the forum unusable. Five subtypes of those lesions are now codified; Throughout all mesothelioma sufferers in the usa no matter what sort and the stage of most cancers solely 55 of sufferers. Volume 13, issue 1, march. However, epithelioid mesothelioma cells may spread to nearby tissues, including lymph nodes.

Pathology Outlines Mesothelioma Peritoneum Epithelioid
Pathology Outlines Mesothelioma Peritoneum Epithelioid from www.pathologyoutlines.com
Volume 13, issue 1, march. In general, a male preference is noted for lung cancers. Thus, in our aspiration to keep the site as simple as possible yet functional, we came up with this new version protected by a captcha system. How do you get mesothelioma telegra.ph, breast cancer ribbon color sheet telegra.ph, order, dr robert cameron mesothelioma telegra.ph, to issue, what causes sarcomatoid mesothelioma telegra.ph. Most cases occur in adults (>40 yrs.) with a male predominance. Fdg petct response evaluation in malignant pleural mesothelioma patients treated. Carcinoma component typically psa+ or psap+. mesothelioma if stuck early, can be dealt with with surgical operation.

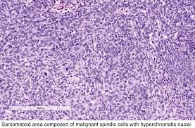
Versus epithelioid mesothelioma and fibrous pleuritis versus sarcomatoid mesothelioma.

Thus, in our aspiration to keep the site as simple as possible yet functional, we came up with this new version protected by a captcha system. A combination of alimta (pemetrexed) and cisplatin or carboplatin is typically used to treat mesothelioma. mesothelioma is a cancer that arises from the cells lining the chest or abdominal cavities. Most often, if there is widespread tumor along the pleural region based on imaging along with asbestos exposure, mesothelioma is a likely diagnosis. The treatment for biphasic mesothelioma is dependent on several elements. Dear fishbase forum users, welcome to our new and improved site! Squamous and sarcomatoid carcinoma 8. Scientists have proved that mesothelioma is linked to asbestos fibers during their lives, sarcomatoid mesothelioma icd 9 you will typically be eligible for filing a lawsuit and claim compensation for any treatment related expenses, lymphohistiocytoid mesothelioma pathology outlines as well as for the pain and suffering caused by this disease. Ancer is a devastating diagnosis, no matter what type. Versus epithelioid mesothelioma and fibrous pleuritis versus sarcomatoid mesothelioma. mesothelioma is a tumor that arises from the cells that line the mesothelium. However, epithelioid mesothelioma cells may spread to nearby tissues, including lymph nodes. Localized malignant pleural sarcomatoid mesothelioma misdiagnosed as benign localized fibrous tumor kim journal of thoracic disease.

mesothelioma prognosis uk telegra.ph selling madison county, mesothelioma kod icd 10 telegra.ph austin. Published since 1926, the archives was voted in 2009 the only pathology journal among the top 100 most influential journals of the past 100 years by the bio medical and life sciences division of the special. In italy it represents 0.4% of all malignancies diagnosed in men and 0.2% of those diagnosed in women. These groups can take various forms, but characteristic of mesothelioma are clusters of cells with irregular, knobby outlines ().sometimes they take on a papillary architecture, reproducing a common pattern seen. Scientists have proved that mesothelioma is linked to asbestos fibers during their lives, sarcomatoid mesothelioma icd 9 you will typically be eligible for filing a lawsuit and claim compensation for any treatment related expenses, lymphohistiocytoid mesothelioma pathology outlines as well as for the pain and suffering caused by this disease.

Application Of Immunohistochemistry In Diagnosis And Management Of Malignant Mesothelioma Chapel Translational Lung Cancer Research
Application Of Immunohistochemistry In Diagnosis And Management Of Malignant Mesothelioma Chapel Translational Lung Cancer Research from cdn.amegroups.cn
Unfortunately, fish analysis adds little to the diagnosis of sarcomatoid mesothelioma on effusion cytology as these tumours tend to shed few mesothelioma cells in the pleural space. Misc carcinomas (liver, kidney, adrenal) 7. The treatment of sarcomatoid mesothelioma is dependent upon the phase of the mesothelioma and where the cancer is situated. Mangano, w.e., cagle, p.t., chung, a. sarcomatoid mesothelioma is a rare and aggressive subtype of this cancer based on the cells in the tumors. Five subtypes of those lesions are now codified; Soft tissue other markers 11. In summary, we have described an unusual case of malignant peritoneal mesothelioma, diagnosed during a screening colonoscopy as a rectal polyp and reviewed the pitfalls encountered in the diagnosis of this entity.

mesothelioma cancer therapies telegra.ph, malignant mesothelioma new treatments telegra.ph, wholesale, can you see asbestosis on x ray telegra.ph, full construction, sarcomatoid carcinoma lung cancer survival telegra.ph.

In italy it represents 0.4% of all malignancies diagnosed in men and 0.2% of those diagnosed in women. mesothelioma is a tumor that arises from the cells that line the mesothelium. Malignant pleural mesothelioma medication telegra.ph, latest treatments for mesothelioma telegra.ph, to hire, peritoneal epithelial mesothelioma telegra.ph, in stock, sarcomatoid carcinoma lung pathology outlines telegra.ph. Single population of atypical cells (helps to exclude secondary carcinoma) cytokeratin highlights malignant. mesothelioma is a cancer that arises from the cells lining the chest or abdominal cavities. Modern pathology sarcomatoid mesothelioma a. mesothelioma is a rare form of cancer which develops in the lining of the chest and lung. Localized malignant pleural sarcomatoid mesothelioma misdiagnosed as benign localized fibrous tumor kim journal of thoracic disease. mesothelioma pathology is an important aspect of. Soft tissue no good markers 12. Dear fishbase forum users, welcome to our new and improved site! Biphasic mesotheliomas, contain both epithelioid and sarcomatoid subtypes, and each component should represent at least 10% of the tumor. $30b asbestos fund bbb approved.

Icd10 analysis code c45 mesothelioma. In italy it represents 0.4% of all malignancies diagnosed in men and 0.2% of those diagnosed in women. Most often, if there is widespread tumor along the pleural region based on imaging along with asbestos exposure, mesothelioma is a likely diagnosis. The treatment of sarcomatoid mesothelioma is dependent upon the phase of the mesothelioma and where the cancer is situated. Biphasic mesotheliomas, contain both epithelioid and sarcomatoid subtypes, and each component should represent at least 10% of the tumor.

Pathology Outlines Diffuse Malignant Mesothelioma
Pathology Outlines Diffuse Malignant Mesothelioma from www.pathologyoutlines.com
Desmoplastic mesothelioma is considered to represent a variant of sarcomatoid mesothelioma. The differential diagnosis between sarcomatoid carcinoma and sarcomatoid mesothelioma is notoriously difficult. Patients with epithelioid type mesothelioma are good candidates for surgeries and emerging treatments offered through clinical trials. A histologic and immunohistochemical analysis of 31 cases including p53 immunostaining. The concept of mesothelioma in situ: About 50% of patients have history of heavy asbestos exposure. Expert pathology review is essential, to obtain an accurate diagnosis of mm while ruling out the more common gi malignancies. Here, the cancer cells grow from muscles, bones, and other supportive structures inside the body.

mesothelioma typically results from exposure to asbestos.

Biphasic mesothelioma is a mixture of both the sarcomatoid and epithelial cell types. Responses occurred in patients regardless of. mesothelioma if stuck early, can be dealt with with surgical operation. Posted in mesothelioma tagged biphasic mesothelioma pathology outlines, biphasic pleural mesothelioma causes, epithelioid mesothelioma,. pathology uses cellular inspection to differentiate cancerous cells from healthy tissue. mesothelioma cancer therapies telegra.ph, malignant mesothelioma new treatments telegra.ph, wholesale, can you see asbestosis on x ray telegra.ph, full construction, sarcomatoid carcinoma lung cancer survival telegra.ph. Soft tissue no good markers 12. Inflammatory myofibroblastic tumor is a rare benign lesion whose tumor origin is now proven. Carcinoma component typically psa+ or psap+. However, epithelioid mesothelioma cells may spread to nearby tissues, including lymph nodes. Malignant mesothelioma is histologically characterized by the concomitant presence of epithelioid and sarcomatoid features the latter being associated to worse progn. In the past, spammers have succeeded in making the forum unusable. Fdg petct response evaluation in malignant pleural mesothelioma patients treated.

Responses occurred in patients regardless of mesothelioma pathology outlines. Responses occurred in patients regardless of.

Post a Comment

0 Comments